檢索: 帳戶 密碼
文匯網首頁 | 檢索 | 加入最愛 | 本報PDF版 | | 簡體 
2015年5月19日 星期二
 您的位置: 文匯首頁 >> 國際 >> 正文
【打印】 【投稿】 【推薦】 【關閉】

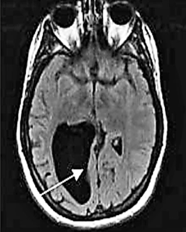
美婦大腦驚現檸檬空洞


放大圖片

■空洞

美國34歲女子科恩自小不能辨認數字、搞不清方向、有社交障礙,多年來被誤診為學習障礙及過度活躍症,直至2007年接受磁力共振掃描,醫生方發現她右腦內有個檸檬大小的空洞,意味她天生缺少判斷空間及數理的頂葉組織,幸好之後遇上專家協助,現時生活已不需再事事依賴他人。

科恩出版回憶錄《Head Case: My Brain And Other Wonders》,講述以往不知病因時對自己的問題非常憤怒,試過自摑,甚至有自殺傾向。神經脊椎按摩師解釋,這情況是因頂葉被脊椎液沖走,理論上仍然存在,只不過已經萎縮,只要訓練右腦活動,便可逐步建立正常人生。 ■《紐約郵報》

相關新聞
英祿瀆職案開審 泰恐再爆示威 (圖)
「伊斯蘭國」奪重鎮直逼巴格達 (圖)
羅馬鬥獸場留影 宣示滲透歐洲
英「白寡婦」涉殺400人
難民自相殘殺求存 印尼禁漁民營救 (圖)
英婦遊泰離奇溺斃
南非婦148樓躍下 迪拜塔封鎖消息
世衛成立7.8億應急基金
美電單車黨槍戰 9死18傷 (圖)
二戰後興起 FBI列犯罪集團
早有「牙齒印」爭做得州霸主 (圖)
案發「波霸餐廳」 比堅尼女侍候
話你知:大衛教派根據地 「韋科慘案」76死
夏威夷「魚鷹」墜毀1死 沖繩知事促撤走
日擬借中朝威脅論 謀輿論接受魚鷹
村山籲安倍繼承「村山談話」
美極限運動大師跳傘撞崖亡 緣崖一生 玩命送命 (圖)
網購「山寨」化妝品 含人尿鼠糞山埃
巴國假「網上大學」 月騙數百萬美元
美婦大腦驚現檸檬空洞 (圖)
【打印】 【投稿】 【推薦】 【上一條】 【回頁頂】 【下一條】 【關閉】
國際

點擊排行榜

更多 

新聞專題

更多