檢索: 帳戶 密碼
文匯網首頁 | 檢索 | 加入最愛 | 本報PDF版 | | 簡體 
2009年11月26日 星期四
 您的位置: 文匯首頁 >> 副刊消費 >> 正文
【打印】 【投稿】 【推薦】 【關閉】

選擇視乎併發症出現


http://paper.wenweipo.com   [2009-11-26]     我要評論
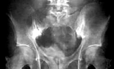
放大圖片

 ■在X光片之下,兩邊的胝骨關節同樣出現纖維化。

 「如何選擇會視乎有沒有虹膜炎及腸道炎這類併發症出現,如有就建議用阿達木單抗或因福利美,前者可以自己進行皮下注射,每2星期1次,後者則一定要入院由醫護人員注射,阿達木單抗的價格較昂貴(約1年13萬),但因福利美是跟據患者的體重來決定份量,以一般年輕男士來說,要使用3至4支藥,以此計算,1年約20多萬,有機會比阿達木單抗更昂貴。」

相關新聞
錐骨之痛 年輕男士要小心 (2009-11-26) (圖)
與遺傳基因有關 (2009-11-26) (圖)
30歲病發高峰 影響工作 (2009-11-26) (圖)
低估病況 令病情惡化 (2009-11-26) (圖)
自我檢測 有助及早治療 (2009-11-26) (圖)
治療新方向 生物製劑 (2009-11-26)
選擇視乎併發症出現 (2009-11-26) (圖)
新醫事:保護關節 紓緩疼痛 (2009-11-26) (圖)
健康營人:提升免疫力 齊來預防流感 (2009-11-26) (圖)
健康講座 (2009-11-26)
文物級酒店餐廳 展現舊香港情懷 (2009-11-25) (圖)
1. 全天候尊貴酒吧 (2009-11-25) (圖)
2.華麗露天中菜廳 (2009-11-25) (圖)
3.寫意馬房輕食 (2009-11-25) (圖)
4.星級西式餐廳 (2009-11-25) (圖)
5.水警監倉酒吧 (2009-11-25) (圖)
中英合璧舊文化 (2009-11-25)
文物級特色酒店 (2009-11-25)
粟米湯 (2009-11-25) (圖)
原燒帶子伴忌廉子汁 (2009-11-25) (圖)
【打印】 【投稿】 【推薦】 【上一條】 【回頁頂】 【下一條】 【關閉】
副刊消費

點擊排行榜

更多 

新聞專題

更多